Quando un paziente ha bisogno di fare un trattamento ortodontico deve sempre eseguire alcuni esami preliminari obbligatori:
• Ortopantomografia delle arcate dentarie

• Teleradiografia del cranio in proiezione laterale
Queste radiografie si possono eseguire direttamente nello studio del dott. Luca Massi senza doversi recare in ospedale, con notevole risparmio di tempo e costi.
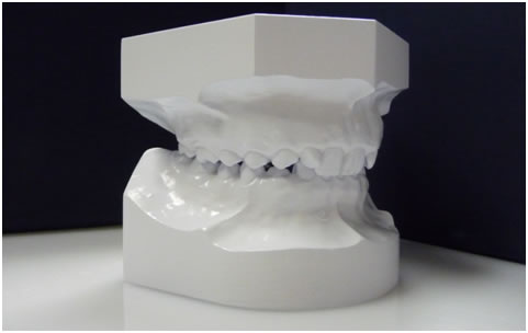
• Impronte delle arcate dentarie dalle quali vengono realizzati dei modelli di studio in gesso

• Fotografie dei denti e del viso
Questi esami vengono studiati personalmente dal dottore che esegue uno studio estetico, un’analisi dello spazio e un tracciato cefalometrico; quest’ultimo è molto importante per distinguere le varie problematiche scheletriche e di crescita e correggerle nei tempi e nei modi dovuti scegliendo gli apparecchi più idonei.

In molti studi dentistici gli esami, se e quando vengono fatti, sono poi inviati a dei centri esterni che spesso forniscono tracciati e addirittura piani di cura computerizzati e per questo non personalizzati.
A volte, nei casi più complicati, si rendono necessari altri esami supplementari come, ad esempio: TAC volumetriche, tracciati computerizzati dei movimenti mandibolari o condilari, elettromiografie, visite posturali, otorinolaringoiatriche, logopediche o di altra natura.
Nella seduta finale il dottore esegue una visita accurata del paziente che comprende l’anamnesi, l’esame estetico e l’esame funzionale (sorriso, deglutizione, occlusione ecc. ) in modo da presentare in maniera precisa sia la diagnosi che il piano di trattamento, specificando gli apparecchi da utilizzare,la durata complessiva del caso e naturalmente il costo dettagliato.
Il preventivo infine viene redatto in forma scritta e rappresenta una garanzia contro eventuali variazioni di prezzo.
• Ortopantomografia delle arcate dentarie

• Teleradiografia del cranio in proiezione laterale

Queste radiografie si possono eseguire direttamente nello studio del dott. Luca Massi senza doversi recare in ospedale, con notevole risparmio di tempo e costi.
• Impronte delle arcate dentarie dalle quali vengono realizzati dei modelli di studio in gesso

• Fotografie dei denti e del viso
Questi esami vengono studiati personalmente dal dottore che esegue uno studio estetico, un’analisi dello spazio e un tracciato cefalometrico; quest’ultimo è molto importante per distinguere le varie problematiche scheletriche e di crescita e correggerle nei tempi e nei modi dovuti scegliendo gli apparecchi più idonei.

In molti studi dentistici gli esami, se e quando vengono fatti, sono poi inviati a dei centri esterni che spesso forniscono tracciati e addirittura piani di cura computerizzati e per questo non personalizzati.
A volte, nei casi più complicati, si rendono necessari altri esami supplementari come, ad esempio: TAC volumetriche, tracciati computerizzati dei movimenti mandibolari o condilari, elettromiografie, visite posturali, otorinolaringoiatriche, logopediche o di altra natura.
Nella seduta finale il dottore esegue una visita accurata del paziente che comprende l’anamnesi, l’esame estetico e l’esame funzionale (sorriso, deglutizione, occlusione ecc. ) in modo da presentare in maniera precisa sia la diagnosi che il piano di trattamento, specificando gli apparecchi da utilizzare,la durata complessiva del caso e naturalmente il costo dettagliato.
Il preventivo infine viene redatto in forma scritta e rappresenta una garanzia contro eventuali variazioni di prezzo.